診療科

心臓血管内科

多様な心臓疾患に対し、
患者さんに負担の少ない
治療を目指します。

近年益々増加する狭心症、心筋梗塞、不整脈をはじめ、多様な心臓疾患に対し、より高度で、より迅速な治療を実現し患者さんの負担の少ない治療を可能としております。
高血圧、動脈硬化、心筋梗塞、狭心症、高脂血症、心房細動、心室性期外収縮などの心臓疾患や、全身の血管閉塞疾患(下肢動脈閉塞、腎臓脈狭窄、大腿動脈閉塞)などの診察、治療をしております。
2018年12月より不整脈に対して根治的カテーテルアブレーション治療を開始しています。致死性不整脈、重症心不全に対する植え込み型除細動器・両室ペーシング機能付ペースメーカー等の植え込み型治療器具を用いた不整脈・心不全治療等について、専門的に検討し認定施設にご紹介します。
※一部の手術に関しては、当院ではなく専門治療が行える近隣の病院へ紹介させていただきます。
総合病院とは異なり、迅速な診断医療を目指し、短期入院、早期社会復帰を可能とする効率のよい医療をご提供いたします。
当心臓血管内科では、適切な治療、看護が患者さんへ提供できるように、治療方針や手術前後の検討会に、 主治医・担当看護師・放射線技師・臨床工学技士・薬剤師が参加しています。

基本方針

私たちは、知識、技術の向上を図り、
患者さんに安心して受けられる医療を提供します

主な疾患と治療法

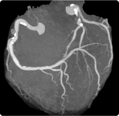
虚血性心疾患(狭心症・心筋梗塞)

狭心症とは、心臓の筋肉に栄養を送っている動脈“冠動脈”が動脈硬化を起こして、狭くなったり詰まったりして、心臓に十分な血液を供給できなくなったために、胸が痛くなったり苦しくなったりする発作を起こす病気です。
冠動脈の狭窄が徐々に進行した場合には狭心症となりますが、冠動脈が突然閉塞してしまった場合には急性心筋梗塞となります。この様に、狭心症と心筋梗塞はいずれも冠動脈の動脈硬化が進行して発症する病気であり、両者をひとくくりにして、虚血性心疾患と呼ぶこともあります。 虚血性心疾患は、日本でも高齢化や食生活の欧米化によって患者数が増加しています。 当院では、心疾患を疑う患者さんが初めて受診された場合、まずは心電図、胸部レントゲン写真、心エコー検査、ABI検査を施行します。しかし、狭心症の場合、発作を起こしている際中(症状がある時)には、心電図や心エコー図検査にも異常が認められるのですが、症状が治まってしまうと正常に戻ってしまうことも多いため、これらの検査だけでは診断がつかないこともあります。
このような場合には、心臓のマルチスライスCTを施行し、画像として直接冠動脈を観察します。CTで冠動脈の狭窄が疑われる場合には、手首や足の付け根から細い管を挿入して、冠動脈を造影する心臓カテーテル検査を行って、治療方針を決定します。当院は、清田区で唯一の心臓マルチスライスCTと、心臓カテーテル検査を行っている病院です(2019年7月現在)。

虚血性心疾患のCTアンギオグラム画像

下肢閉塞性動脈硬化症

心臓の動脈に、動脈硬化がついて狭くなったり詰まったりすることがあるのと同様に、足の動脈にも動脈硬化がついて狭くなったり詰まったりする病気があります。閉塞性動脈硬化症という病気で、やはり高齢化や食生活の欧米化によって、患者数は増加しています。
典型的な症状としては、足が冷たい、ややしばらく歩くと足が張って痛くなるなどの症状があります。もっと重症になると、安静にしていても足が痛い、足の皮膚に潰瘍ができるなどの症状が出てきます。
腰部脊柱管狭窄症など整形外科の病気でも、ややしばらく歩くと足が張って痛くなるという症状が出ることがありますが、特に、タバコを吸う、糖尿病がある、高血圧がある、コレステロールが高いなどのリスク因子を有している患者さんの場合には、血管の病気を疑う必要があります。 外来で簡単に施行することができるABI検査で、閉塞性動脈硬化症があるかないかはだいたい診断することができます。ABI検査の結果で、やはり閉塞性動脈硬化症が疑われる場合には、下肢動脈エコー検査、あるいは下肢動脈CTを行って、狭窄部位を明らかにし、治療方針を決定します。

下肢閉塞性動脈硬化症の血管画像

心不全

「心不全とは、心臓が悪いために息切れやむくみが起こり、だんだん悪化し、生命を縮める病気」(日本循環器学会 急性・慢性心不全診療ガイドライン2017年改訂版)と定義されています。このように、心不全というのは単一の病気の名前ではなく、あらゆる心疾患の終末像であるととらえることができます。
心不全は、もともと高齢者に非常に多く見られる病気であり、日本では今後さらに急速に高齢化が進むことから、心不全患者さんの著しい増加(心不全パンデミック)が予想されています。 当院では、心不全の症状が出現する前からの予防医療にも積極的に取り組んでいます。また、看護師、理学療法士、薬剤師、管理栄養士、MSW(メディカルソーシャルワーカー)などとチームを組んで、心不全チームとしてきめ細やかなケアを心がけています。

心不全の胸部X線画像

不整脈

動悸(胸がドキドキする、脈が抜ける・跳ぶ)、めまいなどの症状を有する患者さんの場合、不整脈を疑う必要があります。 ひと言で不整脈といってもいろいろな種類があるのですが、その不整脈がちょうど出現している時に心電図を記録できないと診断がつかないため、なかなか診断が難しい場合があります。
不整脈が疑われる患者さんの場合、まずは24時間装着するホルター心電図検査を行いますが、それでも診断がつかず、かつ症状を繰り返す患者さんには、埋め込み型心電計(ループレコーダー)などの検査を行って、積極的に診断をつけることを行っています。
不整脈の中でも、心房細動という不整脈は、高齢者に非常に多く見られるものであり、今後も著しく増加することが予想されています。心房細動は、動悸や息切れの原因となることから生活の質を低下させ、心不全や脳梗塞、さらには認知症の原因にもなることから、積極的に治療に取り組んでいます。
当院では、2018年12月からカテーテルを用いて、不整脈の出どころを焼灼して根本的に治療するカテーテル・アブレーションも開始しており、心房細動をはじめとする数種類の不整脈に対して良好な成績を上げています。

不整脈の電気生理学的マッピング画像

心臓弁膜症

心臓は左心房、左心室、右心房、右心室という四つの部屋に分かれています。血液が正しい方向にだけ送り出されるように、それぞれの部屋の間には逆流防止弁がついています。 これらの弁の開きや閉じが悪くなって心臓に負担がかかるようになり、最終的に心不全に至る病気が心臓弁膜症です。 心臓弁膜症の中でも大動脈弁狭窄症は、高齢者に多くみられる弁膜症であり、今後も増加が予想されています。心臓弁膜症の診断にもっとも重要な検査は心エコー検査です。
当院では、初診の患者さんには丁寧な聴診とともに心エコー検査を施行し、弁膜症を見逃さないようにしています。弁そのものを治す薬はありませんので、重症の場合には適切なタイミングで手術を考慮する必要があります。
弁膜症が軽症~中等症の場合には、心エコー検査で定期的に心臓の機能をチェックしていきます。中等症~重症で、治療を要すると考えられる場合には精査を行い、心臓外科の手術ができる病院へ紹介しています。

心臓弁膜症の心エコー画像

主な設備

CT
CT
MRI
MRI
心臓血管造影装置
心臓血管造影装置
心電図、血圧脈波検査装置
心電図、血圧脈波検査装置
心臓エコー検査装置
心臓エコー検査装置